
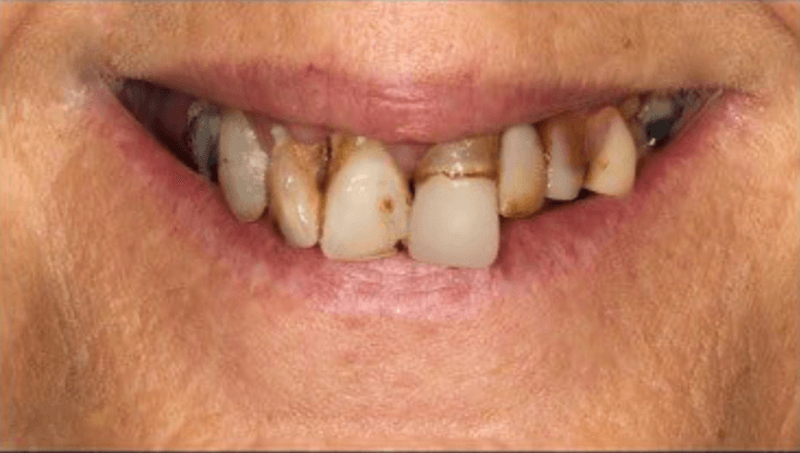
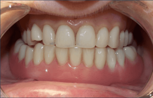
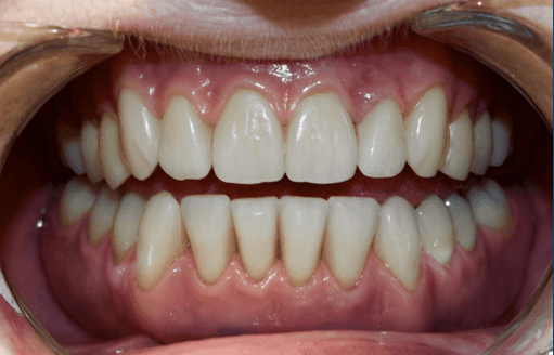
Expertly crafted dentures for a natural, comfortable fit
CW Dentures not only provides the highest level of patient care, but the clinic has one of the best reputations in the UK for providing the most life-like dentures for their patients.
CW Dentures not only provides the highest level of patient care, but the clinic has one of the best reputations in the UK for providing the most life-like dentures for their patients.




